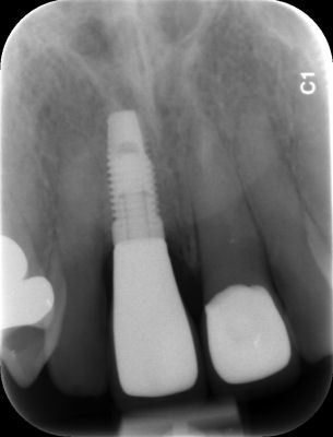
Implants have been around for many years and are a predictable method to replace missing teeth. They offer a way to have artificial teeth that look natural and feel secure. An oral implant is a titanium screw that is embedded into the jaw bone. Bone heals very tightly against the implant making the implant fixed to your jaw.
An implant replaces the root of the tooth to support a false tooth (implant crown). The dental surgeon, usually a Periodontist (gum specialist) or an Oral Surgeon, places the implant into a hole made in the jawbone during surgery. A post (abutment) is then be secured onto the top of the implant to secure the crown.




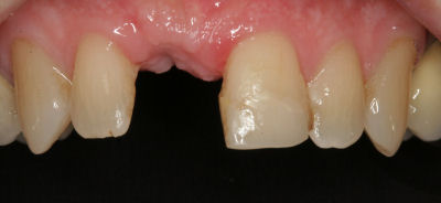
Implants are fixed to your jaw bone and do not move. This provides a stable platform to attach a single implant crown for the replacement of a single missing tooth. Implants are often favoured over fixed bridges supported by natural teeth, especially when the teeth adjacent to the missing tooth or teeth have not been filled.
By preparing teeth for a conventional tooth-supported bridge, a significant amount of tooth is cut away. In contrast, implant crowns can be more conservative, replacing a missing tooth while leaving adjacent teeth unaltered.
A surgical procedure is required to place the implant into your jaw bone. This procedure is uncomfortable but not painful. Local anaesthetic solution is administered to the operative site and this can be combined with oral or intravenous sedation depending on your needs. It is crucial that there is enough bone height and width to be able to place the implant with predictable results.
Sometimes if there is insufficient bone height remaining, the final appearance of an implant crown may not be perfect. You will be advised on whether an implant is the most suitable option for you and what the expected result should be like. Extra surgical procedures such as grafting may need to be required if there is insufficient bone to place the implant.
It is important that you understand that implant restorations consist of two parts, the titanium implant and the implant crown. Research has demonstrated that dental implants may remain integrated with bone in excess of 25 years and many implants will remain integrated for life. The limiting factor for the survival of implant restorations is usually the implant crown. Maintenance issues that may occur with the implant crown include fracture of porcelain or the framework, screw loosening, screw fracture and loss of the filling within the screw access hole.
Usually problems involving the implant crown can be repaired or replaced relatively easily, provided the implant remains integrated in bone. It is difficult to give you an accurate estimate of exactly how long the crown will last, as this is dependent on many factors within and beyond our control. However what we do know is that most early complications with materials tend to occur within the first year of service and provided the implant crown is maintained in a meticulous manner with routine checks, you should get many years of satisfactory service.
Find a specialist prosthodontist in your area on our members page