Crowns are a dental restoration commonly made for single teeth that have excessive wear or have broken down over time with large fillings. As cavities become larger, teeth become more difficult to restore with conventional fillings. Heavily filled teeth may also become weakened and prone to breaking. Crowns can protect teeth from breaking if they are heavily filled or after having root canal treatment.
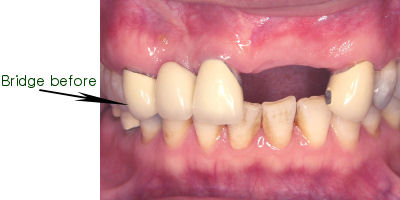
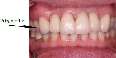
Bridges are used to replace one or two missing teeth when the teeth either side of a space. The alternative to a bridge is a partial denture or implants. A bridge will have a false tooth that fills the space of the missing natural tooth. A significant amount of tooth structure needs to be removed to place a bridge or crown. That is why this option is usually limited to teeth that are heavily filled and require protection.

Gold alloy is an excellent material to restore your back teeth if you are not concerned about the appearance of gold in this area. Gold alloy is strong, biocompatible and does not fracture easily. Gold crowns will not excessively wear the opposing teeth and are conservative of tooth structure during the preparation phase.

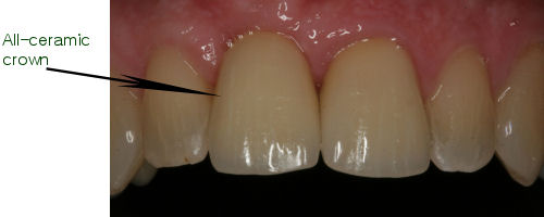
Porcelain fused to metal crowns are constructed from a metal coping that has porcelain baked onto the surface to make them look like natural teeth. The advantages of porcelain fused to metal crowns are that they can look like natural teeth and they are usually strong and durable restorations. All-ceramic crowns are also available and in the appropriate situation can provide you with a very natural appearance to the tooth. If appearances are important, then all-ceramic or porcelain fused to metal crowns may be appropriate. If strength and wear properties are important and appearances are not as significant, then gold crowns may be the best choice.

Your specialist Prosthodontist will guide you as to the most appropriate material for your situation.
Crowns and bridges are strong and good looking restorations for broken down teeth. However, there is a risk when preparing teeth for crowns that the nerve may die in the future. Although this risk is small (about 10 % over 10 years), the tooth will need to be root filled if the nerve does die. The risk of a nerve dying due to preparation for a crown will be dependent on many factors during the preparation process and how well you take care of the crown. If a tooth does require root canal treatment after a crown is completed, this will usually be at extra cost to you.
Porcelain fused to metal crowns and all ceramic crowns have the risk of porcelain fracture (chipping). Porcelain can be difficult to repair adequately and sometimes if the fracture is small, it can be smoothed so that it is comfortable. If the fracture is large the crown may need to be remade.
Crowned teeth are still susceptible to decay and gum disease and it will be your responsibility to maintain a good level of oral hygiene by brushing, flossing and attending regular dental examinations. Crowns and bridges are not suitable if the decay process cannot be stabilised and a satisfactory level of oral hygiene cannot be maintained.
Find a specialist prosthodontist in your area on our members page