New Zealand Association of Prosthodontists

Composite Restorations


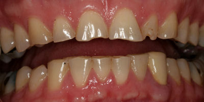
Composite restorations are simply using white filling materials placed directly in your mouth to build up the natural contours and bite of your teeth according to a diagnostic wax-up (plan of the final result).

If your bite has collapsed, or if your existing teeth need modification (closing spaces or shape) then composite restorations may be suitable for you.

If only your front teeth have worn because of grinding or erosion, then we may need to correct your bite at the front only. After placement of the composite it may feel as if you have too much tooth structure. A limited number of people have noted tenderness in their jaw joint following increases in the level of their bite. Most people successfully tolerate a moderate increase in their bite especially if their bite has closed over time due to loss of tooth structure.

Advantages

  • Conservative of tooth structure
  • Easy to repair or replace
  • Lower cost when compared with porcelain crowns made in the laboratory
  • Once bite has been corrected , teeth can be crowned at a later date at your new bite, thus reducing costs and spreading out complex treatment
  • Faster treatment time

Disadvantages

  • Composite will wear more quickly compared with laboratory fabricated crowns or veneers
  • Sometimes if teeth are so badly broken down, only a crown will help restore the tooth
  • Composite will stain and chip more readily compared with ceramic restorations

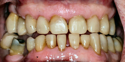
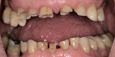
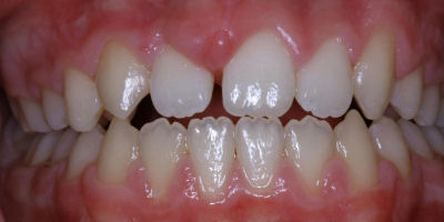
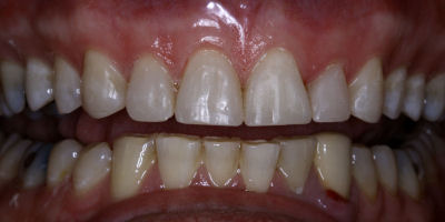
Before/After


Closing Spaces
Opening Bite
Repair Worn Teeth
 

Find a specialist prosthodontist in your area on our members page