New Zealand Association of Prosthodontists

Full Mouth Rehabilitation


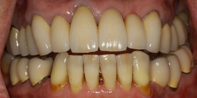
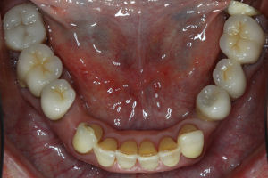
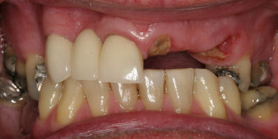
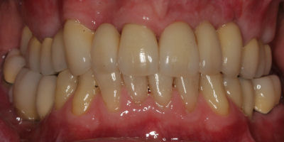
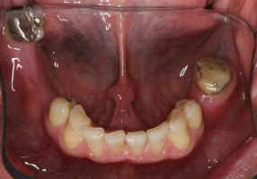
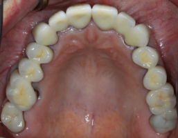
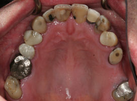
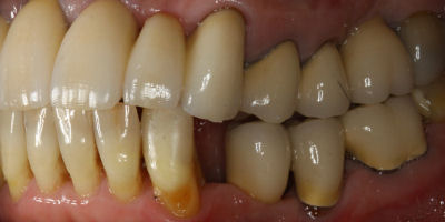
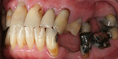
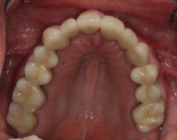
This is an advanced set of dental procedures best carried out by prosthodontists or restorative dentists. Full mouth rehabilitation is a term used in dentistry for rebuilding teeth and supporting structures after decay and gum disease has been stabilised. Full mouth rehabilitation is only required if your bite has collapsed or you have multiple missing or heavily filled teeth. Implants, crown and bridgework and/or partial or full dentures can be used to restore your bite close to its original height. Temporary restorations or dentures are used to get an idea of what the final result will be like before having the final restorations made. Temporary restorations also allow you to have input into your appearance and smile giving you the opportunity to show friends and family what your teeth may look like when the work is complete.

The stabilisation phase of full mouth rehabilitation may take months or years depending on your response to slow the gum disease or decay processes. It is vital that your remaining teeth and gums are healthy before commencing full mouth rehabilitation. Therefore the time of treatment for this particular set of procedures can vary significantly between patients.

Before/After

 

Find a specialist prosthodontist in your area on our members page